Answering the question about the effect of Indiba 448 kHz lipolysis on the face, does Indiba have a negative effect? Do people age faster?
TOP POSTINDIBA
Dr. Carlos Peñaloza
1/23/2025


The short answer is NO, we are not going to age faster by using INDIBA and its effect on eliminating body fat. QUITE THE CONTRARY! I'll tell you why.
We know that INDIBA 448 kHz has a proven effect on lipolysis, several studies specify the mechanism by which we have this effect on adipocytes to summarize the main ways by which we have this effect are: action on pre-adipocytes, action on mature adipocytes, effect on visceral fat. (Onomura 2001, Puig 2022, Hernandez Bule … )
It may seem contradictory that by saying that we have all these effects we have no consequences on the fat located in the face, a very frequent question among our clients, since they maintain that if we "lose fat" in the face we will age the appearance of people more quickly since it will lose volume and support of the skin (natural characteristics of the aging process) and to a certain extent they are right! but not enough to cause alarm. In fact, it is only in one of the different anatomical locations of fat that exist in the face that we will have this desired effect in people who want to lose weight. Remember that in any weight loss process, it will be in the face where volume is lost first (low-calorie diet, exercise, increased basal metabolism, etc.)
To better understand the fat in the face, let's review the following concepts and an anatomical review:
Types of Fat from a Histological Perspective
Histologically, fat cells (adipocytes) are classified into two main types:
1. White Adipose Tissue (WAT)
· Appearance: Large, round cells with a single, large lipid droplet that occupies most of the cell volume. The nucleus is pushed to the periphery.
· Function: Primarily energy storage, insulation, and cushioning. It also plays a role in endocrine function, producing hormones like leptin and adiponectin.
· Location: Subcutaneous tissue (under the skin), around organs, and within bone marrow.
2. Brown Adipose Tissue (BAT)
· Appearance: Smaller cells with multiple lipid droplets and a more abundant mitochondrial population. The mitochondria give BAT its characteristic brown color.
· Function: Primarily thermogenesis (heat production). It is activated in response to cold temperatures or increased energy demand.
· Location: Mainly present in newborns and infants, but small amounts can persist in adults, particularly in the neck, chest, and abdomen.
Note: While white and brown adipose tissue are the two primary types, there is increasing evidence for a third type:
3. Beige Adipose Tissue (BeAT)
· Appearance: Similar to WAT, but with a higher mitochondrial content and a more active metabolism.
· Function: Can be induced to acquire some of the characteristics of BAT, including thermogenesis.
· Location: Found within WAT, often in response to cold exposure or exercise.
Mixed Fat
While there is no specific term for "mixed fat" from a histological perspective, it is possible to encounter tissues that contain a combination of white and brown adipocytes. This can occur in certain regions, such as the perirenal fat (fat surrounding the kidneys), where both types may be present. The relative proportions of white and brown adipocytes can vary depending on factors like age, diet, and environmental conditions.
there have been numerous studies on beige adipose tissue (BeAT). Researchers have been particularly interested in understanding how BeAT can be activated and its potential role in combating obesity and metabolic diseases.
Some key findings from these studies include:
· Activation: BeAT can be induced to acquire characteristics of brown adipose tissue (BAT), including increased thermogenesis, by exposure to cold temperatures, exercise, or certain drugs.
· Metabolic benefits: Activation of BeAT has been associated with increased energy expenditure, improved insulin sensitivity, and reduced body weight.
· Role in obesity: BeAT may play a protective role against obesity by increasing energy expenditure and reducing fat accumulation.
· Therapeutic potential: Targeting BeAT for therapeutic purposes, such as developing drugs that stimulate its activation, is an area of active research.
Here are a few notable studies on BeAT:
1. "Identification and characterization of beige fat in human subcutaneous adipose tissue"
o Authors: Cypess AM, et al.
o Publication: Nature. 2013;493(7434):545-548.
o Key findings: This study identified a distinct population of beige adipocytes in human subcutaneous adipose tissue and characterized their unique features.
2. "Beige fat in humans: a potential therapeutic target for metabolic disease"
o Authors: Wu J, et al.
o Publication: Cell Metab. 2013;17(5):698-709.
o Key findings: This review article discusses the potential therapeutic implications of targeting BeAT for metabolic diseases, such as obesity and type 2 diabetes.
3. "Induction of beige fat in white adipose tissue by cold exposure"
o Authors: Lee P, et al.
o Publication: Cell Metab. 2014;19(2):318-326.
o Key findings: This study demonstrated that cold exposure can induce the formation of beige adipocytes within white adipose tissue, leading to increased energy expenditure.
4. "Browning of white adipose tissue as a therapeutic target for metabolic disease"
o Authors: Tseng YH, et al.
o Publication: Cell Metab. 2015;21(3):331-340.
o Key findings: This review article explores the mechanisms underlying the browning of white adipose tissue and discusses the therapeutic potential of targeting this process.
Fat in the Face: Types and Anatomical Locations
The face is composed of a complex network of tissues, including various types of fat. These fats play a crucial role in facial structure, contour, and aging. Here's a breakdown of the primary types of fat found in the face and their approximate locations:
1. Subcutaneous Fat
· Location: Found directly beneath the skin, providing a cushioning layer and contributing to overall facial volume.
· Distribution: Varies widely depending on individual factors, but is generally more prominent in the cheeks, chin, and neck areas.
2. Deep Facial Fat
· Location: Situated deeper within the facial layers, often compartmentalized within specific anatomical spaces.
· Types:
o Malar fat pad: Located in the cheek area, contributing to its fullness and roundness.
o Orbital fat: Surrounds the eyes, providing support and contributing to the appearance of youthful eyes.
o Temporal fat pad: Found in the temples, influencing the shape and contour of this region.
o Jawline fat: Located along the jawline, contributing to its definition and contour.
Note: The amount and distribution of facial fat can vary significantly between individuals and change over time due to factors such as aging and genetics.
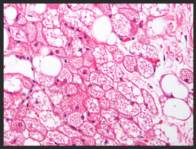
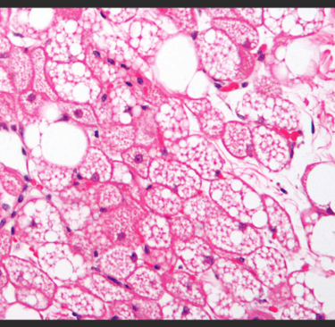
There are some histological differences between subcutaneous fat and deep facial fat.
While both types of fat are primarily composed of adipocytes (fat cells), there are variations in their:
· Cellular morphology: Deep facial fat tends to have smaller, more densely packed adipocytes compared to subcutaneous fat.
· Extracellular matrix: The extracellular matrix surrounding the adipocytes can differ between the two types. Deep facial fat may have a more fibrous matrix, providing additional structural support.
· Vascularization: Deep facial fat often has a richer blood supply than subcutaneous fat, which is important for nutrient delivery and waste removal.
· Innervation: The nerve supply to deep facial fat may be more sensitive than that of subcutaneous fat, contributing to facial sensation and expression.
These differences contribute to the unique characteristics and functions of deep facial fat, such as its role in maintaining facial structure, contour, and youthful appearance.
…So when we are asked if Indiba reduces facial fat, we will answer:
-What type of facial fat are you concerned about? Subcutaneous fat? Or deep facial fat?
- If it is about subcutaneous fat, we will answer yes to a certain extent, just like white fat in other anatomical areas, if it is in hypertrophy, we will promote lipolysis in it, which we are calm about because it does not affect the support and structure of the face. Everyone who goes through a weight loss process, even if it is through diet, will reduce this fat and people will not age faster because of it.
If the concern is about deep facial fat, the answer will be No.
At least not with INDIBA 448 Khz, since this decreases every year with the aging process and genetic factors. Therefore, if you have a predisposition to this, it is an event that unfortunately we cannot reverse. What INDIBA does not do is accelerate this process since this fat is different from the subcutaneous fat. In fact, they are smaller adipocytes, compacted with more extracellular fibrous tissue. Therefore, hypertrophy in these is not the first option for the human body to store energy in the form of fat (it will use the subcutaneous fat).
Facial treatment is one of the most widely applied treatments with INDIBA and in all the years of experience we have not found any adverse effects with respect to this indication.
Remember that these deep facial compartments are made up not only of fat but of other structures where Indiba helps in their regeneration and maintenance.










Reach Out
All rights reserved since 2024